Her baş ağrısı masum olmayabilir. Medipol Sağlık Grubu’ndan Beyin ve Sinir Cerrahisi Uzmanı Dr. Öğr. Üyesi Cevdet Gökçek, basit bir migren gibi görünen şikayetlerin altında ciddi tabloların yatabileceğini belirtti. Gökçek, “Özellikle yeni başlayan baş ağrısına eşlik eden kusma ve nöbetler, beyin tümörünün habercisi olabilir” uyarısında bulundu.
HABERE AİT VİDEO İÇİN TIKLAYIN İZLE
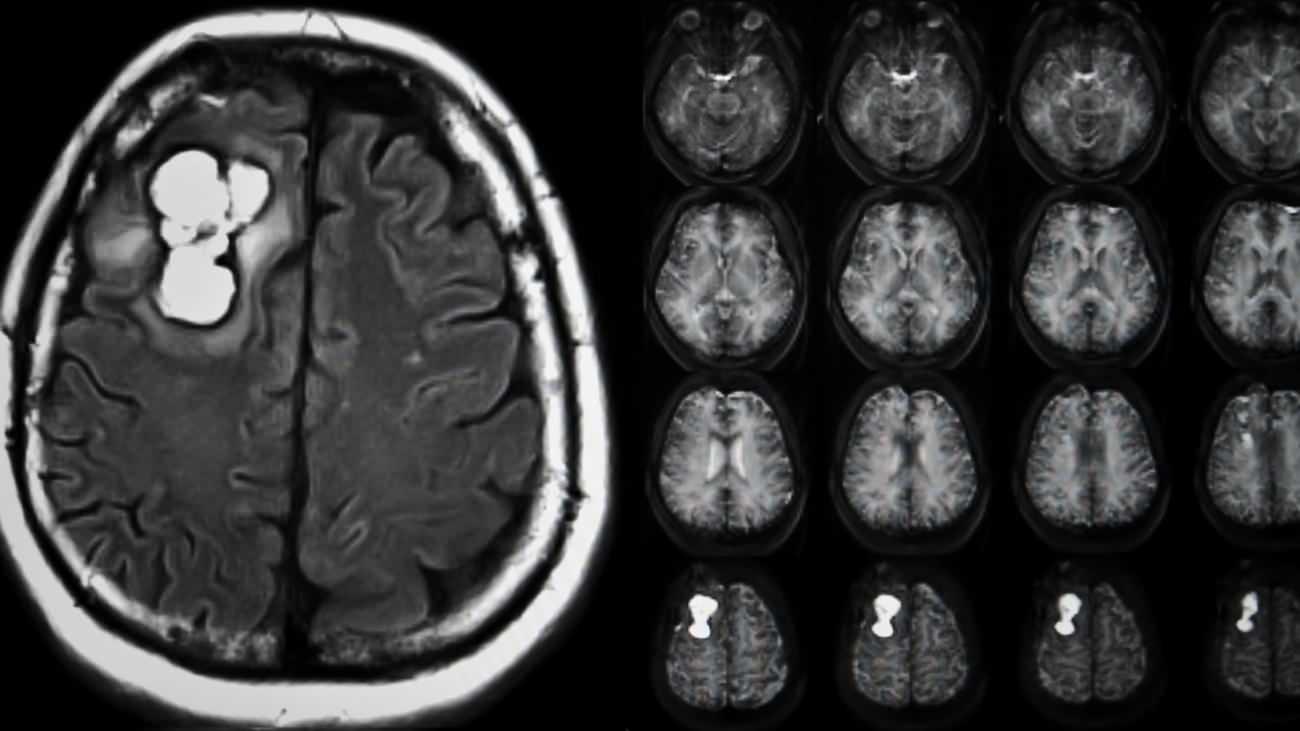
Beyin tümörleri, beynin kendisinden, etrafındaki zarlardan veya kafatasından kaynaklanabildiği gibi vücudun başka bölgelerindeki kanserlerin beyne yayılmasıyla da oluşabiliyor. Medipol Üniversitesi Pendik Hastanesi’nden Beyin ve Sinir Cerrahisi Uzmanı Dr. Öğr. Üyesi Cevdet Gökçek, beyin tümörleri hakkında önemli açıklamalarda bulundu. “Akciğer, meme ve böbrek gibi organlardaki bazı tümörler beyine metastaz yapabilir. Ayrıca bazı kan hastalıkları lenfoma gibi beyinde kendini gösterebilir” dedi.

BEYİN TÜMÖRÜ BELİRTİLERİ ÇEŞİTLİ OLABİLİYOR
Beyin tümörlerinin belirtilerini sıralayan Dr. Gökçek, “Bulantı, kusma, baş ağrısı, baş dönmesi, sara nöbetleri, kişilik değişiklikleri, hafıza ve görme bozuklukları, anormal göz hareketleri ve kulakta çınlama beyin tümörlerinin en sık görülen belirtileri arasında” dedi.
Beyin tümörlerinin kesin tanısı için MR çekiminin altını çizen Dr. Gökçek, “Kapalı alan korkusu olan hastalar için tomografi kısa sürede bilgi verebilir. Ancak beyin tümörlerinin doğru şekilde tespiti ve lokalizasyonu için MR şarttır” diye konuştu.

EN ETKİLİ TEDAVİ METODU CERRAHİ
Tedavi yöntemleri hakkında da bilgi veren Dr. Gökçek, “Günümüzde beyin tümörlerinin en etkili tedavi metodu cerrahidir. Beyin zarlarından kaynaklanan iyi huylu tümörler tamamen çıkarılırsa sonuçlar oldukça başarılı oluyor. Beynin kendi dokusundan çıkan tümörlerde ise cerrahi yaşam süresini uzatıyor. Cerrahinin yanı sıra radyoterapi ve kemoterapi de uygulanabiliyor” ifadelerini kullandı. Dr. Gökçek son olarak şunları ekledi: “Uzun süren veya yeni başlayan baş ağrısı, bulantı, kusma, kulakta çınlama, görme bozuklukları ve saran nöbetler yaşanıyorsa vakit kaybetmeden bir uzmana başvurulmalıdır. Erken tanı hayat kurtarır ve tedavi şansını artırır.”
GÜNDEM
18 saat önceGÜNDEM
2 gün önceGÜNDEM
8 gün önceGÜNDEM
9 gün önceGÜNDEM
10 gün önceGÜNDEM
13 gün önceGÜNDEM
14 gün önce
1
Doğru emzirme yöntemleri nelerdir, sütün yettiği nasıl anlaşılır?
2191 kez okundu
2
Taylor Swift yeni albüm planları için düğmeye bastığını sosyal medyadan duyurdu!
1590 kez okundu
3
Bu kış kombinlere doyacağınız onlarca model ve onlarca detay.
1449 kez okundu
4
2021 yılına girerken yeni saç modelleri kendini göstermeye başladı.
1346 kez okundu
5
Ağrım var dedi, ameliyata alındı… Midesinden çıkan şey olay oldu!
1320 kez okundu